These images have been provided to the Valley Fever Center for Excellence by Dr. Steven L. Oscherwitz, to be used by medical professionals for educational purposes only.
Coccidioides Spherules: These are the tissue forms of Valley fever fungus, seen on a biopsy of lung tissue from a patient with the disease.
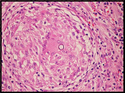
Spherule in granuloma: Valley fever spherules are contained in prisons made of white blood cells called granulomata. White blood cells in these granulomata keep the fungal invaders in check, unless the host patient has a weak immune system.
Coccidioides left lung cavitary pneumonia: If our white blood cells can’t control the Coccidioides fungus, local tissue destruction and cavity formation can occur.
Coccidioides pneumonia with severe left sided pneumonia, pleuropericarditis and breast implants: Inflammation from the fungal lung infection can affect the adjacent pleural membranes, pericardium and even the heart itself.
Radiologists can turn up the contrast on CT scan images to better see the extent of Coccidioides lung disease. (Compare to prior image)
Coccidioides right lung cavitary pneumonia with bacterial abscess: Bacteria from the mouth can make pus inside a Cocci cavity, with high fevers, chest pain and malaise. Pus that breaks out of the cavity into the adjacent pleural space forms an empyema.
Coccidioides left cavitary pneumonia, severe COPD: Patients with emphysema, diabetes, cancer chemotherapy or other immunosuppressive problems are prone to disease with Coccidioides fungus.
Coccidioides right lung cavitary pneumonia, severe COPD: Coccidioides infection can cause lung scarring, shrinking the involved lung. Diaphragm is pulled up into a “tent” or peak, in this case.
Coccidioides cervical lymphadenitis, disseminated infection: Coccidioides fungi can leave the lungs in patients with decreased cellular immunity. Involvement of brain, bones, abdominal viscera, muscles and soft tissues can be life-threatening.
Disseminated coccidioides infection with extensive pneumonia: Patients with disseminated disease are unable to contain the fungus. Most cases of disseminated Coccidioides are fatal without treatment.
Erythema multiforme: Coccidioides fungus can activate the immune system, causing rashes of all sorts. Joint pain, fatigue, red eyes, ulcers in the mouth and swelling of the lips and tongue can all be associated.
Erythema multiforme: The rash, joint aches, lip and tongue swelling, fatigue and red eyes usually resolve promptly on treatment.
Erythema nodosum: Large tender nodules beneath the skin are a different sort of skin involvement than erythema multiforme. These usually occur on the front of the legs, but they can appear anywhere on the body in patients with Coccidoides infection.
Coccidioides therapy may include various antifungals: Azoles are commonly used in patients able to take oral therapy (fluconazole, itraconazole, voriconazole, posaconazole). Amphotericin B formulations are given to more seriously ill patients intravenously.